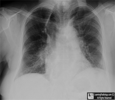
What is the most likely diagnosis?
- 71 year-old with dysphagia

Frontal Radiograph of the Chest
- Overdistension of ETT Balloon
- Aspiration Pneumonia
- Tracheomegaly
- Pneumomediastinum
- Achalasia
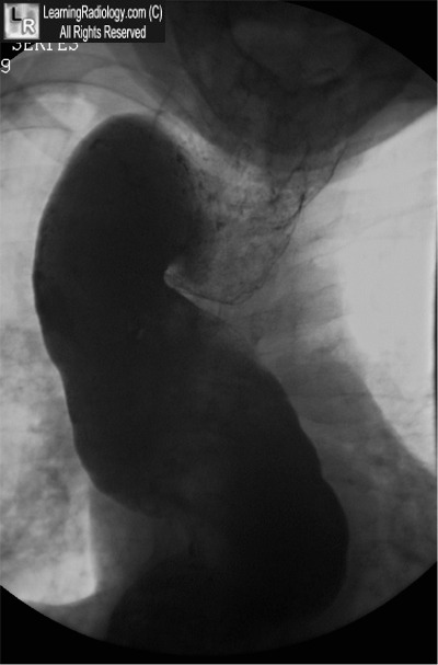
Additional Image-Esophagram

Additional Images

Esophagram

Answer:
5. Achalasia
More (Click Discussion Tab)
Achalasia
General Considerations
- Usually idiopathic in origin
- Degeneration of neurons within the myenteric plexus of the esophageal smooth muscle
- Neuronal destruction is typically inflammatory in nature
- Histologically: lymphocytic infiltrate surrounding the plexus
- Predominantly involves the nitric-oxide producing inhibitory neurons
- Cause smooth muscle relaxation by inhibiting the acetylcholine producing excitatory neurons
- Loss of inhibitory input results in unopposed contractile stimulation and aperistalsis
- Acetylcholine producing neurons (which stimulate smooth muscle contraction) are relatively spared in this degenerative process